Identificação de Cistos odontologicos
Reconhecimento de cistos odontologicos em imagens de radiografia panorâmica com Deep Learning.
Código FonteProblema a ser resolvido
Este se trata de um problema de visão computacional que tem como foco identificar áreas cisticas por meio do aprendizado profundo, um dos problemas era o tamanho do dataset, que apesar de ter 682 amostras, para identificar um cisto que é algo complexo se tornava difícil, muito por conta dos diferentes tipos de cistos de existem.
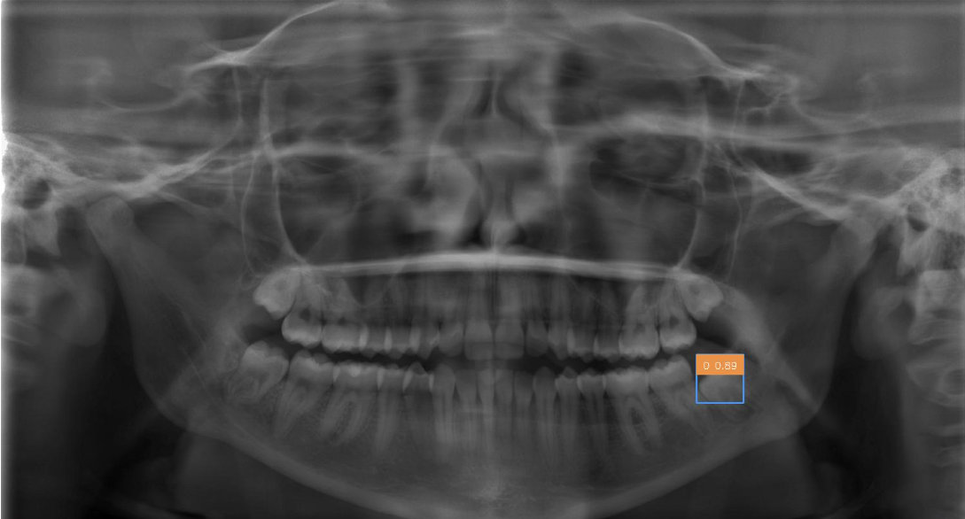
Como mostrado na imagem do dataset acima, temos três pastas chamadas: CREATML (JSON), PascalVOC (XML), YOLO (TXT) com as coordenadas dos cistos, que se mostrarmos utilizando as bibliotecas OpenCV e Matplotlib temos imagens como as ao lado.
Aumentando a quantidade de dados
Como citado anteriormente, um problema grande era a falta de dados para que o modelo aprendesse melhor o que, de fato, era um cisto odontológico, para isso foram implementadas ações para aumentar os dados, aplicando transformações de brilho, rotação, etc. Dessa forma aumenta a diversidade de dados e melhora a predição do modelo.
Resultados do Projeto
Os resultadosse deram pelo uso da arquitetura U-Net com adição de blocos residuais onde no final a predição era uma máscara binária mostrando onde está o cisto.





